#下顎前突
#顎変形症
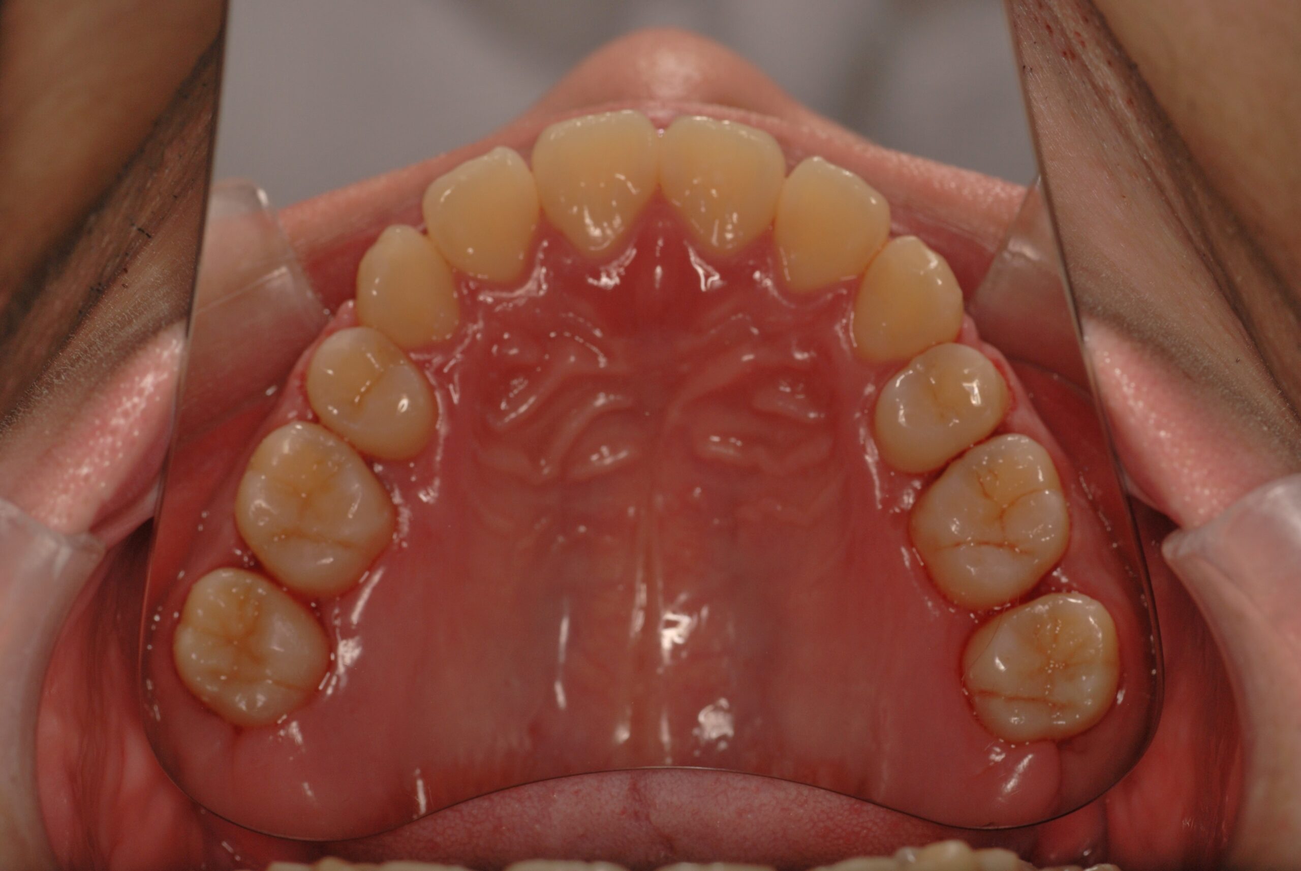
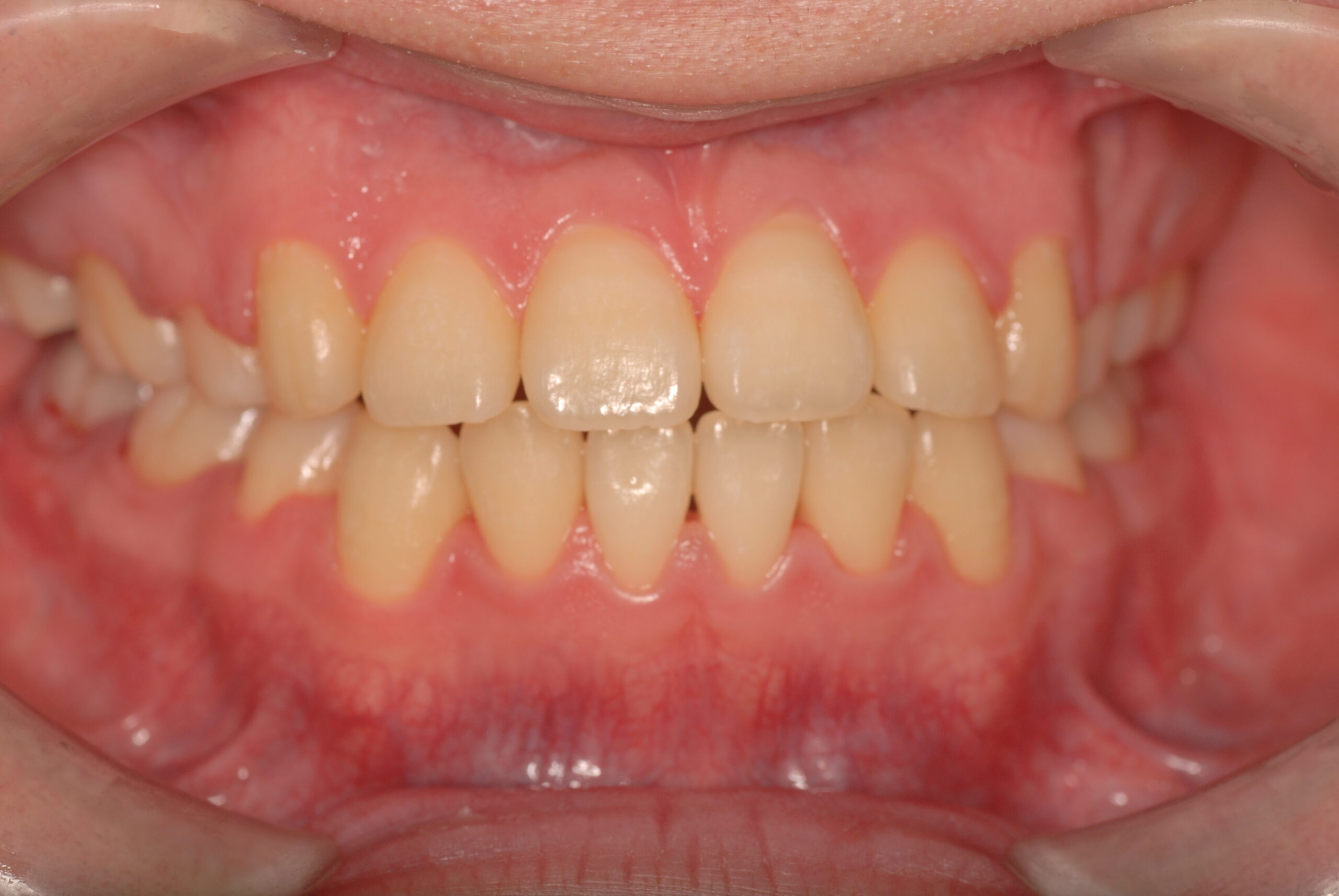
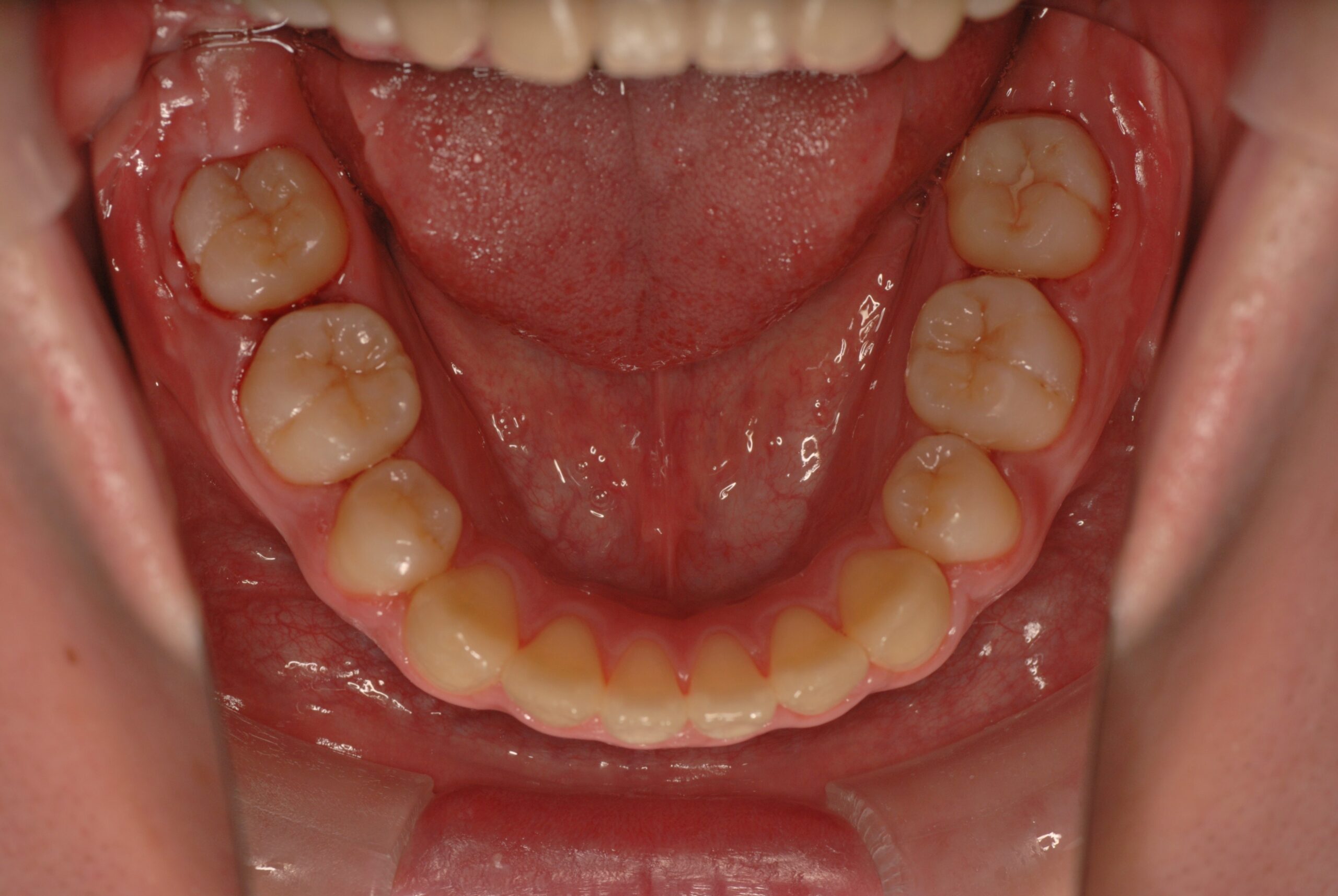
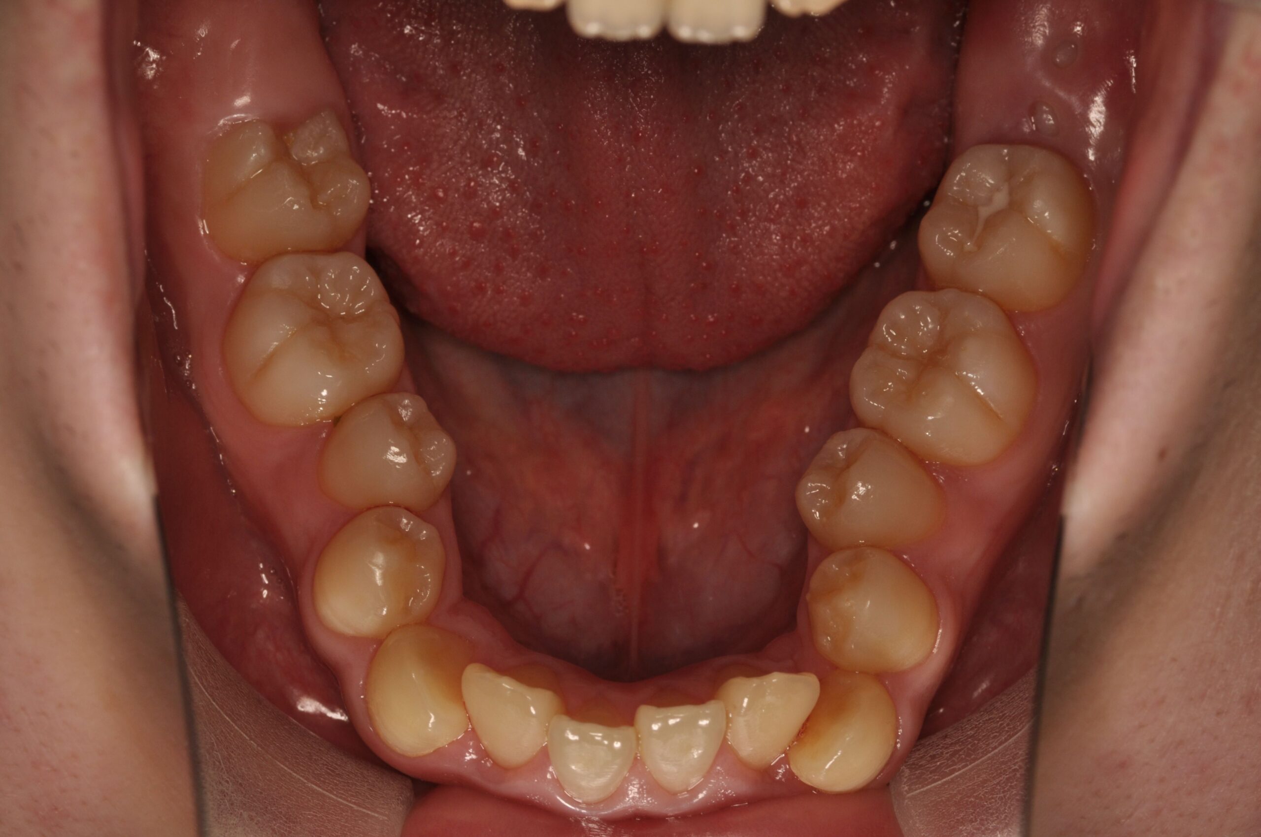
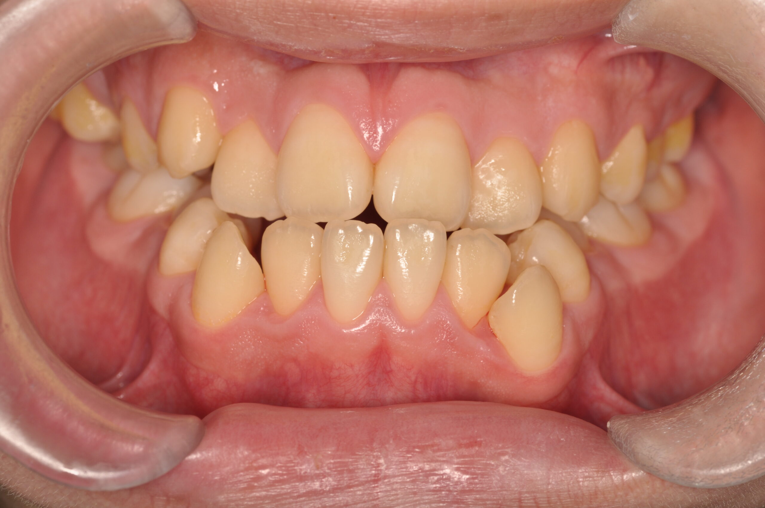
反対咬合(受け口、下顎前突) 叢生
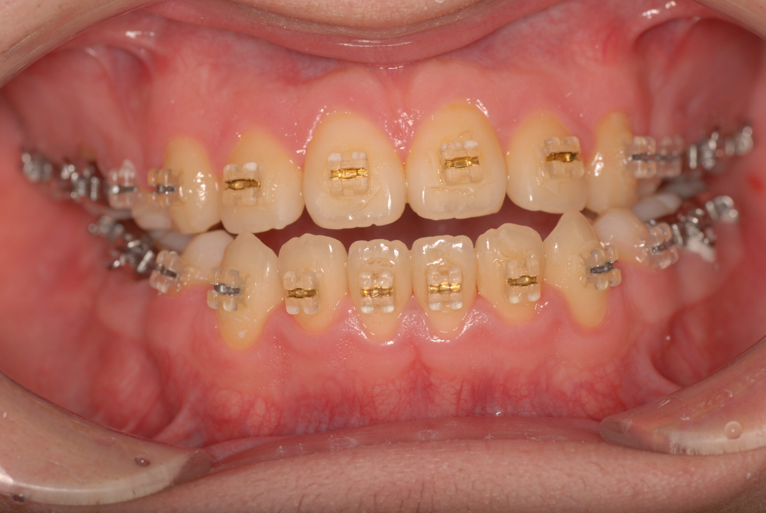
Before
Progress
After
- 主訴
- 下の顎が出ている。 歯がでこぼこしている。
- 初診時年齢
- 15歳2か月
- 診断名、治療内容
- 骨格性下顎前突症、下顎骨左偏位、叢生、 顎変形症として、外科的矯正術を計画。 叢生、右側第2大臼歯鋏状咬合。 上下顎第一小臼歯を抜歯し、抜歯空隙を利用し叢生を改善し、上下顎それぞれ歯列を整列し、矯正治療中に病院歯科口腔外科にて外科手術(近郊の病院歯科口腔外科にて、口の中から手術、2週間入院)により下顎骨の後退と左偏位の改善をし、適切なオーバージェット、オーバーバイトを付与する。
- 治療期間、費用の目安
- 約3年3か月。 健康保険適応で、約90万円(検査診断料、矯正料、月一回の処置料、入院手術の総額)
- リスク、副作用
- カリエス、歯肉炎、上顎前歯部後退の伴う歯根吸収、歯髄壊死、痛み 下顎骨垂直骨切り術による知覚麻痺、顔面腫脹、その他、全身麻酔時に生じる一般的リスク