#上顎前突
#叢生
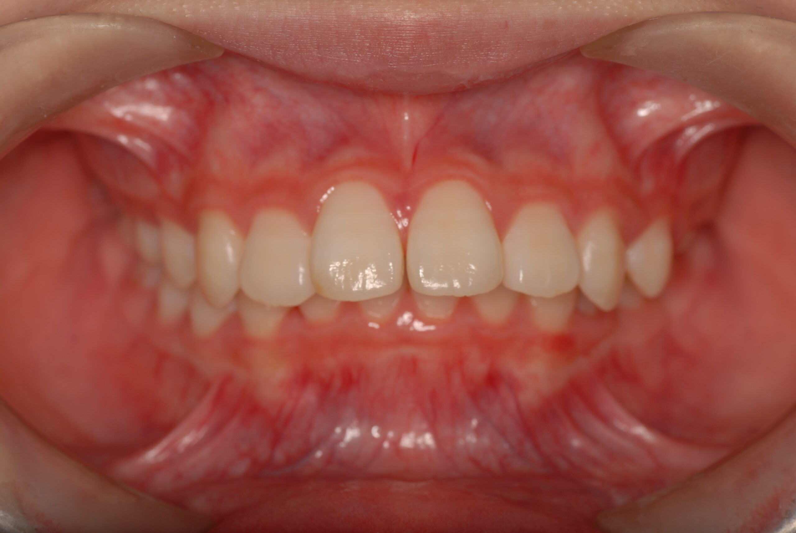
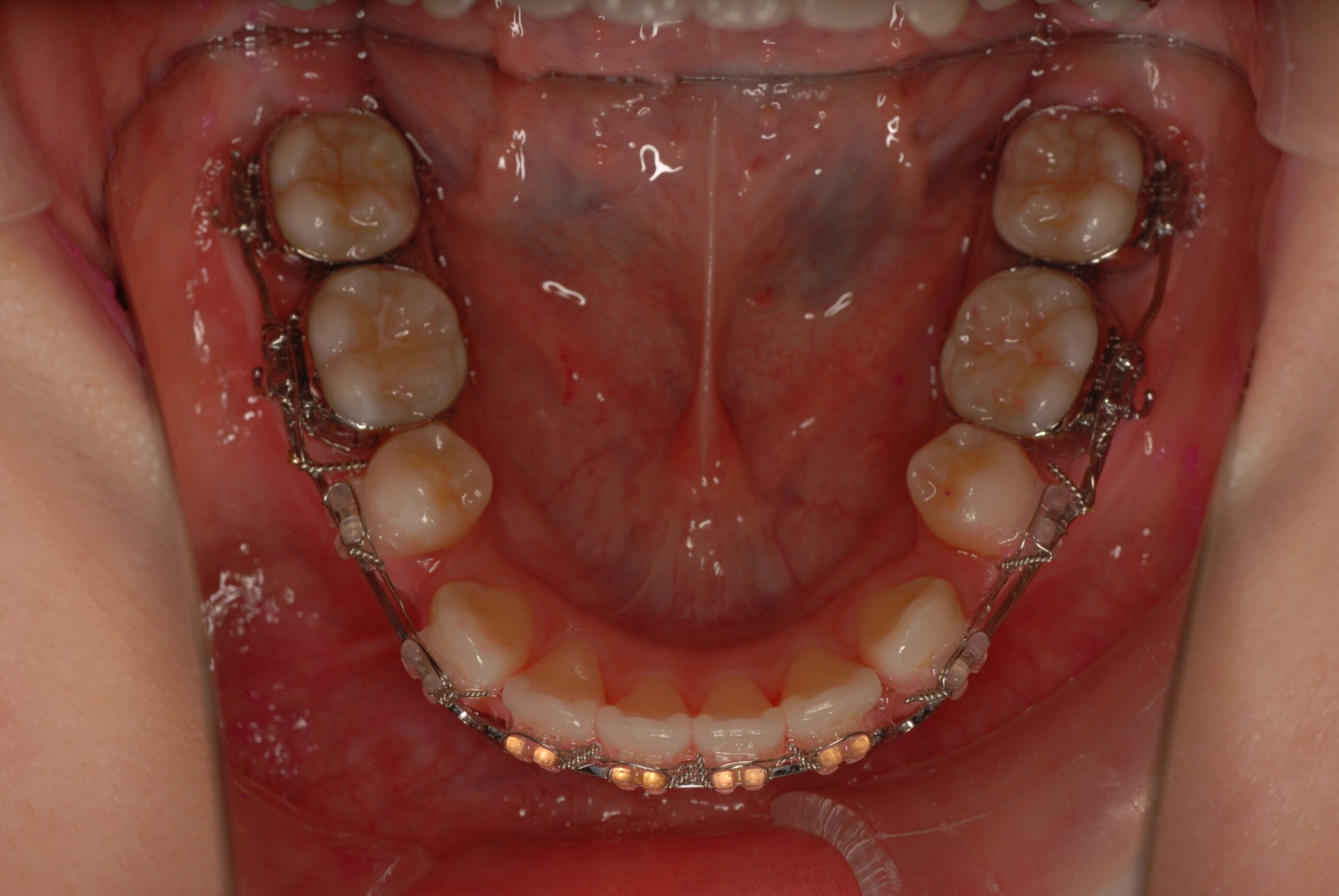
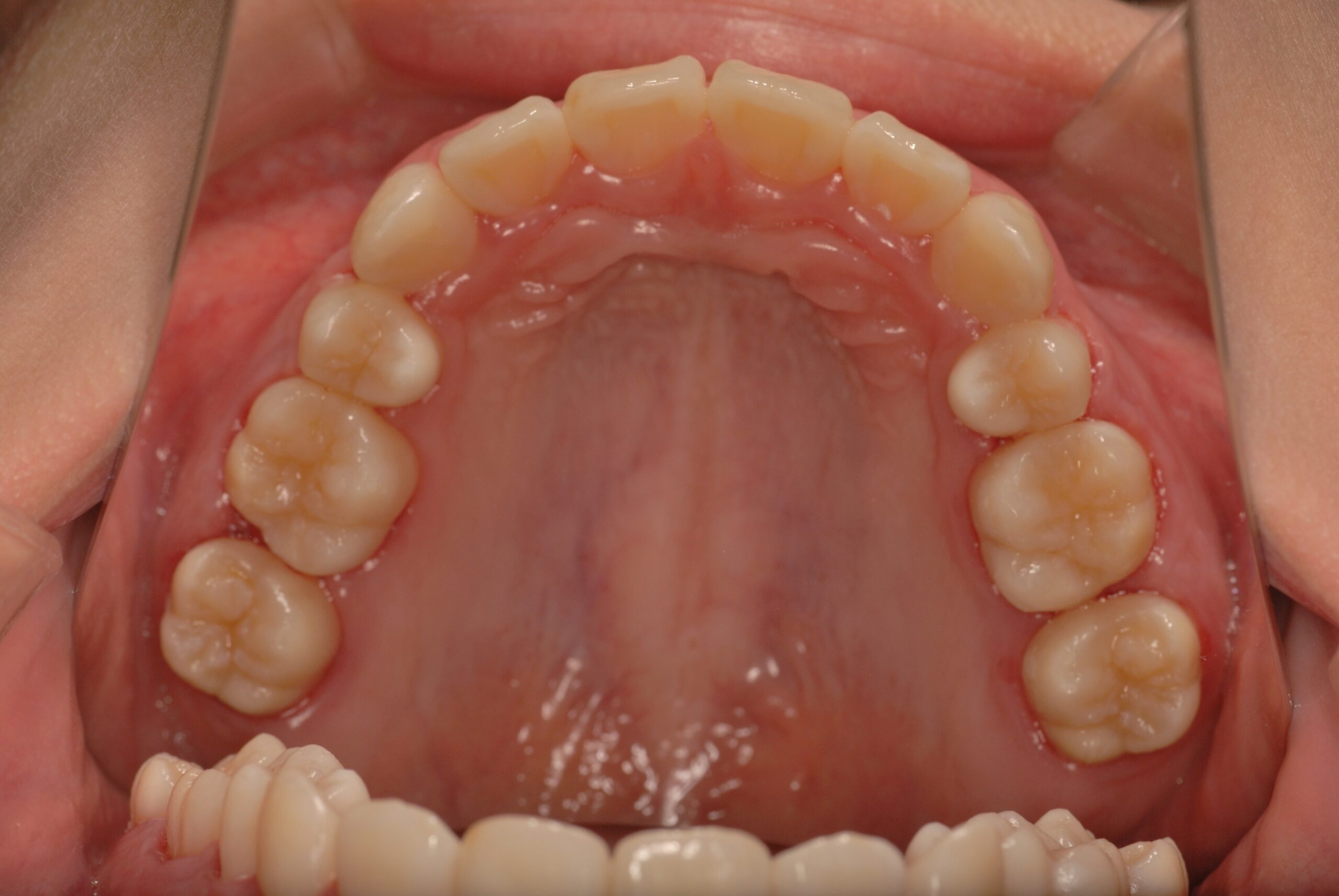
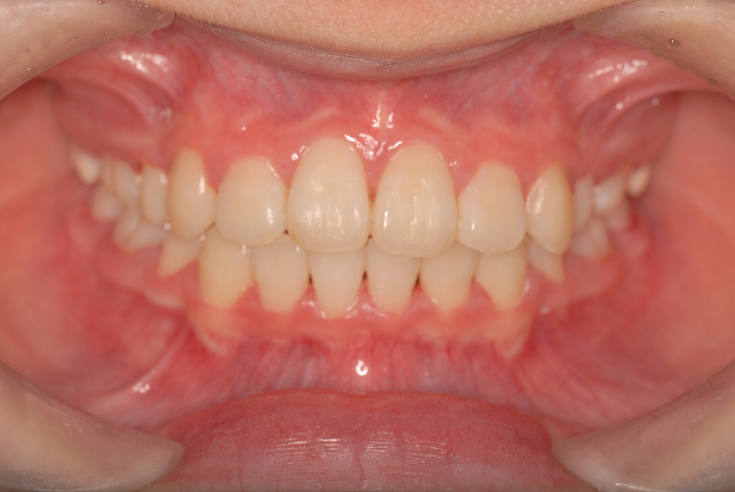
上顎前突
Before
Progress
After
- 主訴
- 上の前歯が出ている。
- 初診時年齢
- 12歳10か月
- 診断名、治療内容
- 上顎前突、叢生。 上下顎第一小臼歯を抜歯し、抜歯空隙を利用し、顎外固定装置としてヘッドギヤを併用しながら、上顎前歯を可及的に後退させる。
- 治療期間、費用の目安
- 約3年6か月 約90万円+消費税(検査診断料、矯正料、ヘッドギヤ代、月1回の処置料の総額)
- リスク、副作用
- カリエス、歯肉炎、上顎前歯部後退の伴う歯根吸収、歯髄壊死、痛み